岩手県花巻市南城たむら歯科医院たむら歯科キャラクターたむら歯科へのアクセスたむら歯科への問合わせたむら歯科のブログ

はじめての方へ
ごあいさつ
院内感染対策
診療案内
 ・矯正治療
 ・歯周内科治療
 ・むし歯の治療
 ・マウスガード
 ・レーザー治療
 ・ホワイトニング・ガムブリーチング
 ・口臭治療
 ・いびき治療
 ・つまようじ法
障害を持つお子様へ
診療カレンダー&アクセス
商品のご案内
スタッフ紹介
リンク



    診療案内


 ホワイトニング&ガムブリーチング
好印象は口元から!ホワイトニング&ガムブリーチング
普段生活するうえでももちろんですが、お仕事でよく人と接する方、お話する方、それから就職活動中の学生さん、歯の黄ばみや歯ぐきの黒ずみなどが気になった事はございませんか?
気になる事があると無意識に口元を隠して、せっかくの笑顔も控えめになってしまいがちです。

当院のガムブリーチングとホワイトニングで、口もとをキレイにしませんか?
白い歯と良い色の歯ぐきで健康的な好印象を与えちゃいましょう!
ホワイトニングってなに?
ホワイトニングホワイトニングとは文字通り歯を白くすることで、薬を使って歯を白く明るい色合いにすることができます。歯を削ったり麻酔をうつことはありません。
たむら歯科医院では、自宅でホワイトニングできるホームコースを中心としております。忙しくてあまり通えない方も、家にいながら理想の白さを持続させる事ができます。
ガムブリーチングってなに?
着色の原因ガムブリーチングとは、薬剤などを使って、歯茎色を元に戻す治療法です。歯茎のホワイトニングとも言われています。
本来、歯肉の色はライトピンクやサーモピンクといったような、美しい色をしています。
しかし、色素の多い方、喫煙習慣のある方は茶色く着色してしまって、気になっている方も多いのではないでしょうか。
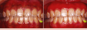
症例紹介
ガムブリーチング
ガムブリーチング

ガムブリーチングの症例です。術前の歯茎は色が黒ずんでいるのがわかります。


 

岩手県花巻市南城たむら歯科医院 岩手県 花巻市 南城 抜かずに治す たむら歯科医院 魔女のキャラクターが目印の歯医者さんです
たむら歯科医院
〒025-0021岩手県花巻市南城27ー13 ご予約・お問合せ 0198-23-6788